Patologías de los salmónidos en agua dulce: un enfoque integrado
Autores: Marcelo Vera, Carlos Sandoval, Paola Olmos, Marcia TomasoniConstanza Villarroel, Juan Pablo Prada, Javiera Villarroel.
I. Introducción

La etapa de agua dulce en salmonicultura es mucho más que una fase de transición: es un filtro sanitario y fisiológico que determina el éxito en mar. Durante este periodo convergen patógenos clásicos, enfermedades emergentes y trastornos no infecciosos ligados al ambiente, nutrición y calidad del agua. A continuación, se revisan las problemáticas de mayor relevancia, separadas en infecciosas y no infecciosas, con énfasis en su etiología, patogenia y diagnóstico histopatológico.
II. Patologías infecciosas
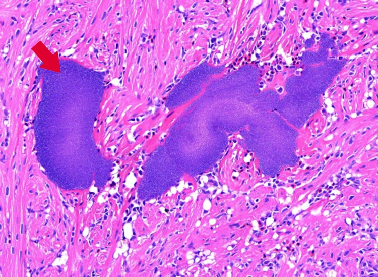
II.1. Infectious Pancreatic Necrosis Virus (IPNV)
Causa: virus Birnaviridae; persiste en hatcheries y ha evolucionado hacia cepas más virulentas (NVI reporta variantes recientes también presentes en Chile).
Patogenia: afecta principalmente al páncreas exocrino, hígado y riñón hematopoyético. Puede permanecer en infecciones subclínicas, reactivándose bajo estrés.
Histopatología: necrosis acinar pancreática multifocal, degeneración y necrosis hepatocelular, necrosis del tejido hematopoyético.
Histoquímica/IHQ: IHQ con anticuerpos anti-IPNV identifica inclusiones virales.
Comentario: la presión selectiva de vacunas y genética ha desplazado el cuadro clásico hacia presentaciones subclínicas crónicas que dificultan el diagnóstico.
II.2. Flavobacteriosis (Flavobacterium psychrophilum)
Causa: bacteria Gram negativa filamentosa que prospera en aguas frías (12–16 °C).
Patogenia: produce necrosis muscular, septicemia. Predispone el estrés, altas densidades, calidad de agua y daño mecánico.
Histopatología: mionecrosis focal con infiltrado inflamatorio leve; necrosis en meninges y retina en casos severos.
Histoquímica/IHQ: Gram negativo filamentoso; IHQ y FISH mejoran sensibilidad en músculo y cerebro.
Comentario: indicativo de desviaciones en los sistemas de cultivo y es causa de mortalidad en etapas tempranas.
II.3. Saprolegniasis (Saprolegnia spp.)
Causa: oomiceto oportunista, favorecido por baja temperatura, daño epidérmico, calidad de agua y estrés.
Patogenia: coloniza ovas, piel y músculo; genera pérdida osmótica y mortalidad importante en incubación y eventualmente en el resto del ciclo en FW.
Histopatología: hifas ramificadas no septadas que invaden epidermis, músculo superficial y dermis.
Histoquímica: PAS y Grocott (GMS) resaltan paredes de hifas.
Comentario: su control sigue siendo complejo por las pocas opciones terapéuticas. Calidad de agua y condiciones de cultivo son cruciales para su control.
II.4. Piscine orthoreovirus (PRV)
El PRV es uno de los agentes virales más relevantes en la salmonicultura, con capacidad de infectar peces en agua dulce y persistir hasta la fase de mar. Su tropismo principal son los eritrocitos y células endoteliales, generando cuadros clínicos y subclínicos de importancia productiva.Patogenia y fases
En salmón Atlántico, la infección progresa en fases:
● Temprana (replicación en eritrocitos, sin lesiones evidentes).
● Aguda (miositis y miocarditis, hepatocitos con necrosis focal).
● Persistente (baja carga viral, pero inflamación residual en miocardio y músculo).
Esta evolución se asocia al desarrollo del síndrome HSMI (Heart and Skeletal Muscle Inflammation) en mar.
En salmón coho, el cuadro es más hemolítico agudo, con destrucción masiva de eritrocitos, anemia, ictericia y alta mortalidad.
Lesiones características. En agua dulce, las más relevantes incluyen vacuolización y necrosis de cardiomiocitos, infiltrados inflamatorios en miocardio y músculo esquelético, y pigmentación hemática en hígado y riñón.
Diagnóstico. Basado en histología de corazón e hígado, inmunohistoquímica e hibridación in situ para detectar el virus en eritrocitos y endotelio, y RT-qPCR para confirmación molecular.
Control. Actualmente no existen vacunas ni tratamientos efectivos; la estrategia depende de manejo productivo cuidadoso, reducción del estrés y monitoreo constante para evitar la progresión a HSMI en mar.
II.5. Bacterial Kidney Disease (BKD, Renibacterium salmoninarum)
Causa: bacilo Gram positivo intracelular; transmisión vertical y horizontal.
Patogenia: coloniza macrófagos, evade inmunidad, produce proteína p57 que suprime respuesta inmune; curso crónico.Histopatología: granulomas en riñón con necrosis central, infiltrado de macrófagos y células gigantes multinucleadas.
Histoquímica/IHQ: Gram positivo intracelular; IHQ mejora diagnóstico en infecciones tempranas.
Comentario: difícil de erradicar; el foco está en prevención vertical y manejo reproductor.
II.6. Furunculosis (Aeromonas salmonicida)
La furunculosis, causada por Aeromonas salmonicida, sigue siendo una de las enfermedades bacterianas más relevantes en salmónidos de agua dulce, en particular en hatcheries y sistemas de recirculación (RAS). Aunque la vacunación ha reducido su impacto histórico, en los últimos años se han identificado cepas reemergentes “vapA-absent”, que carecen del gen que codifica la clásica proteína de superficie A-layer. Estas variantes presentan cambios antigénicos que les permiten evadir en parte la inmunidad generada por vacunas tradicionales, lo que ha favorecido la aparición de brotes incluso en peces inmunizados.
Patogenia y clínica. La bacteria penetra principalmente por branquias y piel, desencadenando septicemia aguda con hemorragias cutáneas, ascitis y letargia, o cuadros crónicos con úlceras dérmicas y necrosis focal en hígado y riñón. Entre sus factores de virulencia destacan exotoxinas y mecanismos de evasión inmune que reemplazan el rol clásico de la A-layer.
Importancia en RAS. A. salmonicida puede persistir en biofiltros y actuar como reservorio ambiental, dificultando su erradicación y facilitando la reinfección. Esto refuerza la necesidad de protocolos estrictos de bioseguridad, desinfección y monitoreo constante de los sistemas de tratamiento de agua.
Diagnóstico. Comprende bacteriología clásica, histología (necrosis hepática y renal), tinción de Gram y técnicas de inmunohistoquímica que confirman su presencia en tejidos.
Manejo y control. El control requiere un enfoque integral: vacunación actualizada considerando cepas “vapA-absent”, reducción del estrés, un manejo poblacional cuidadoso y planes estrictos de limpieza y desinfección en RAS.
III.Patologías no infecciosas
III.1.Deformidades esqueléticas
Las deformidades del esqueleto representan una de las principales causas de pérdidas económicas y de bienestar en salmónidos cultivados en agua dulce. Su origen es multifactorial, involucrando genética, nutrición, ambiente y manejo.Factores de riesgo. Entre los más relevantes se encuentran la triploidía, deficiencias minerales (fósforo, calcio, zinc, selenio), dietas con alta proporción de fitatos, déficit de vitamina C, temperaturas extremas, hipoxia, exposición a CO₂ o metales, densidades altas y prácticas como gradings repetidos.
Lesiones características. Incluyen vértebras comprimidas o fusionadas, lordosis, cifosis, “cross-stitch vertebrae” y alteraciones de mandíbula y opérculo. Estos cambios en muchos casos irreversibles y pueden comprometer tanto el rendimiento productivo como la calidad de filete en fases posteriores.
Diagnóstico. Se basa en una combinación de radiografía, que permite detectar alteraciones en columna y costillas; histología, útil para evaluar procesos de condrogénesis y osificación; y técnicas histoquímicas como Von Kossa y Alizarina Red, que permiten evidenciar deficiencias minerales en hueso y cartílago. Además, determinaciones de P, Ca y Vitamina C en sangre y ratio Ca:P en hueso pueden ser de utilidad.
Control y prevención. Las medidas efectivas se enfocan en programas de mejoramiento genético, dietas balanceadas en minerales y vitaminas, control ambiental en hatcheries y RAS, y reducción de manejos estresantes.